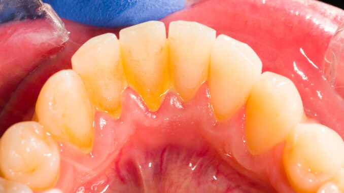
Nejlepší domácí metody na odstranění zubního plaku. Výsledek je vidět již za pár dní

Špinavá ústa a existující zubní plak mohou ovlivnit nejen to, jak se cítíte. Ústa používáme denně, denně se usmíváme, mračíme, ukazujeme své emoce. Používání ústní vody je dobrá metoda, jak se zbavit mnoha bakterií v ústech. Ústní voda by měla být součástí každodenní zubní hygieny. Jestli ale zavítáte do drogerie, koupená ústní voda nemusí být dobrý nápad, protože obsahuje fluorid, která je škodlivou přísadou.

Místo chemické ústní vody použijte jedlou sodu
Ústní dutinu si můžete přirozeně léčit správnou stravou a péčí o ni. Jedlá soda je klíčovou slokou, která udržela přirozený stav úst a měla by patřit do pravidelné zubní hygieny. Dobře vybělí zuby a má antibakteriální vlastnosti. Můžete ji použít k samotnému čištění zubů a k vypláchnutí úst.

ČTĚTE DÁLE NA DALŠÍ STRÁNCE